Table of Contents
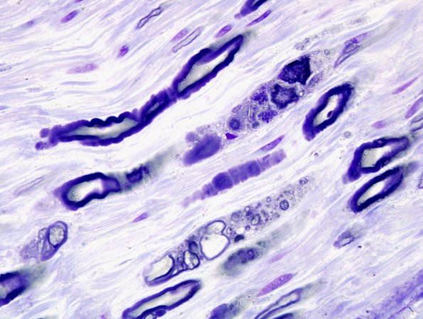
Washington University Experience | PERIPHERAL NEUROPATHY | 4 AXONAL DEGENERATION | 2 Plastic Sections | 8A3 Axonal Degeneration (Case 8) Plastic 1
8A3,4 Longitudinal elements show variation along the course of this axon (arrow, 8A4)
