Table of Contents
Washington University Experience | PERIPHERAL NEUROPATHY | 4 AXONAL DEGENERATION | 2 Plastic Sections | 8A4 Axonal Degeneration (Case 8) Plastic 3 copy
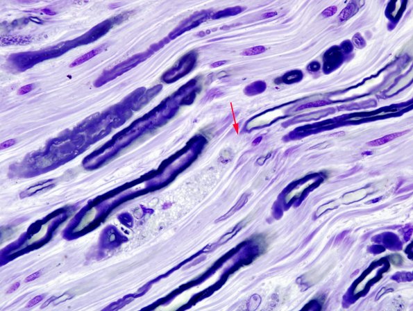
Longitudinal elements show variation along the course of this axon (arrow, 8A4)
