Table of Contents
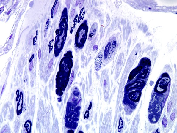
Washington University Experience | PERIPHERAL NEUROPATHY | 4 AXONAL DEGENERATION | 2 Plastic Sections | 9A1 Axonal degeneration, active (Case 9) Plastic 11.jpg
9A1-3 Partially longitudinal sections and cross sections of degenerating axons.
