Table of Contents
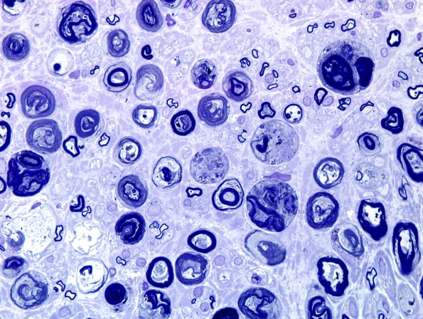
Washington University Experience | PERIPHERAL NEUROPATHY | 4 AXONAL DEGENERATION | 2 Plastic Sections | 9A3 Axonal degeneration, active (Case 9) Plastic 13.jpg
Partially longitudinal sections and cross sections of degenerating axons.
