Table of Contents
Washington University Experience | PERIPHERAL NEUROPATHY | 4 AXONAL DEGENERATION | 3 Electron Microscopy | 1A Axonal degeneration, (Case 1) EM 003 - Copy
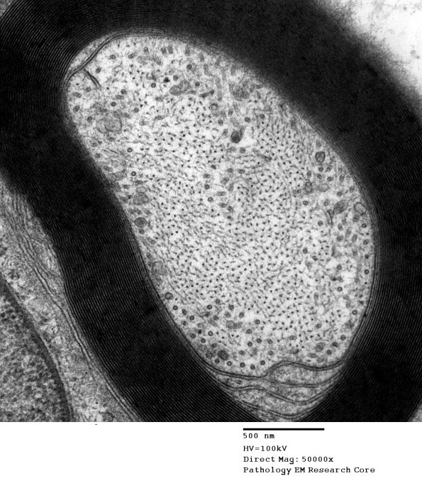
Ultrastructure ----- Ultrastructural examination provides a detailed look at the subcellular composition of individual axons and pathologic processes. Unmyelinated axons, which are 3-4 fold more numerous than myelinated axons in the sural nerve, range in diameter from 0.2-2.0 microns and are difficult to appreciate purely with light microscopic techniques. ---- 1A This small myelinated axon exhibits a wealth of neurofilaments and microtubules, typically referred to as the axonal cytoskeleton.
