Table of Contents
Washington University Experience | PERIPHERAL NEUROPATHY | 4 AXONAL DEGENERATION | 3 Electron Microscopy | 1B1 Axonal degeneration, (Case 2) EM 007 - Copy
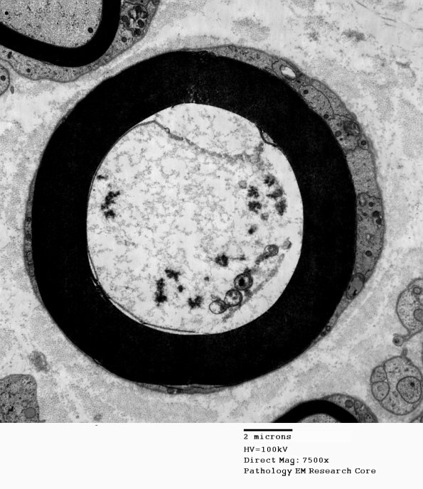
The earliest ultrastructural changes of axonal degeneration in many neuropathies and axotomy-induced Wallerian degeneration involve the axoplasmic cytoskeleton. ---- 1B1,2 Although the myelin sheath appears mostly normal in the axon shown in this image, the axoplasm has lost much of its cytoskeleton which has been replaced by granularity and amorphous densities.
