Table of Contents
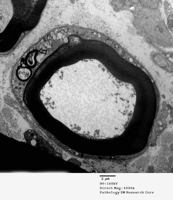
Washington University Experience | PERIPHERAL NEUROPATHY | 4 AXONAL DEGENERATION | 3 Electron Microscopy | 1C1 S08-24688 (Case 3) EM - Copy
The axoplasmic changes are similar to those of the previous axon; however, the myelin sheath is accompanied by a halo of myelin debris in the abaxonal Schwann cell cytoplasm.
