Table of Contents
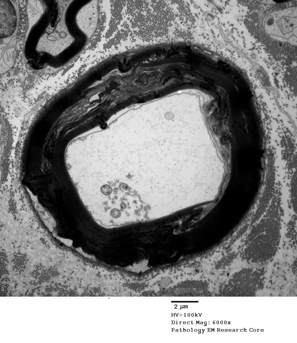
Washington University Experience | PERIPHERAL NEUROPATHY | 4 AXONAL DEGENERATION | 3 Electron Microscopy | 1D1 Axonal Degeneration, early (Case 4) EM 067 - Copy
1D1,2 The loss of the cytoskeleton is accompanied by alterations in other axoplasmic organelles such as mitochondria, seen well at higher magnification in image #1D2.
