Table of Contents
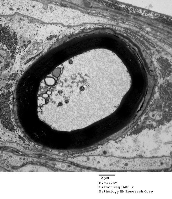
Washington University Experience | PERIPHERAL NEUROPATHY | 4 AXONAL DEGENERATION | 3 Electron Microscopy | 1D3 Axonal Degeneration, early (Case 4) EM 074 - Copy
1D3,4 Cytoskeletal degeneration in the axoplasm is accompanied by degenerative changes in the adaxonal cytoplasm of the Schwann cell while the myelin structure is largely intact.
