Table of Contents
Washington University Experience | PERIPHERAL NEUROPATHY | 4 AXONAL DEGENERATION | 3 Electron Microscopy | 1E1 Axonal Degeneration, granular axoplasm, sarcoid (Case 5) EM 035 - Copy copy
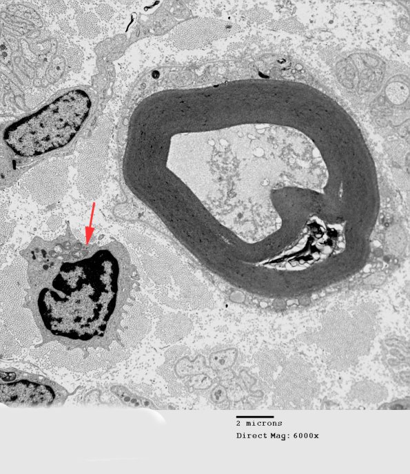
The degenerative changes in this axon are well developed with numerous vacuoles. Even at this early time after injury, there is already an influx of inflammatory cells in the endoneurium, likely monocytic/macrophagic precursors (arrow) lacking basal laminae.
