Table of Contents
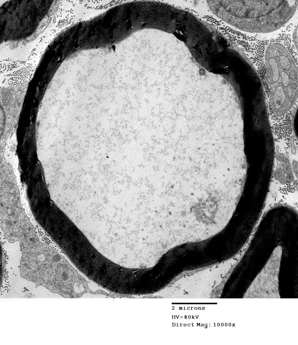
Washington University Experience | PERIPHERAL NEUROPATHY | 4 AXONAL DEGENERATION | 3 Electron Microscopy | 1F2 AMPK KO Mouse Degen Axons (Case 6) EM 011.jpg
Transgenic AMPK knockout mice show similar ultrastructural dissolution of the axonal cytoskeleton.
