Table of Contents
Washington University Experience | PERIPHERAL NEUROPATHY | 4 AXONAL DEGENERATION | 3 Electron Microscopy | 2A1 Axonal Degeneration (Case 9) EM 050 - Copy
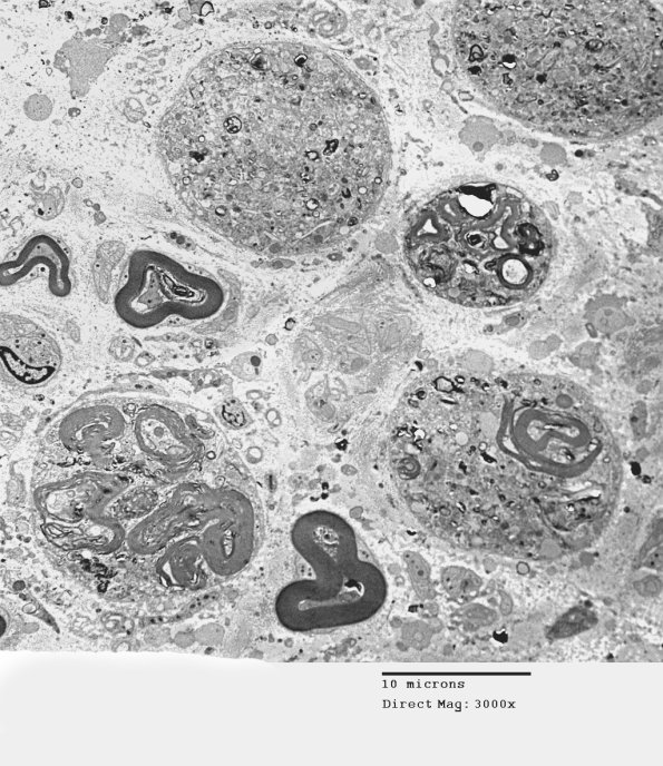
2A1 This is the typical appearance of established degeneration in large myelinated axons. Large numbers of synchronized degenerating axons seen at the same ultrastructural stage at one time in a neuropathy suggests catastrophic injury to proximal axons, clinically most common in vertebral collapse pinching nerve roots or vasculitis.
