Table of Contents
Washington University Experience | PERIPHERAL NEUROPATHY | 4 AXONAL DEGENERATION | 3 Electron Microscopy | 2A2 Axonal Degeneration (Case 9) EM 026A - Copy
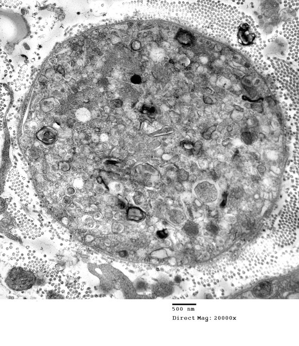
Established degeneration in this axon results in a Schwann cell containing myelin, axonal and Schwannian cytoplasm enclosed within the original Schwann cell basement membrane.
