Table of Contents
Washington University Experience | PERIPHERAL NEUROPATHY | 4 AXONAL DEGENERATION | 3 Electron Microscopy | 2A3 Axonal Degeneration (Case 9) EM 030 - Copy copy
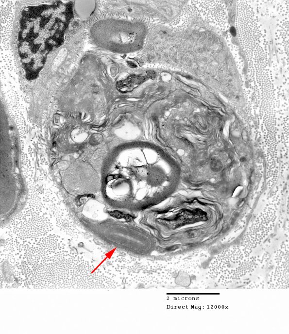
In this case large pieces of the compact myelin sheath are common. The larger fragments in some cases resemble artifactual changes produced by biopsy-induced crush injury. Small fragments of myelin (arrow) and axonal debris are more consistently seen in genuine axonal degeneration.
