Table of Contents
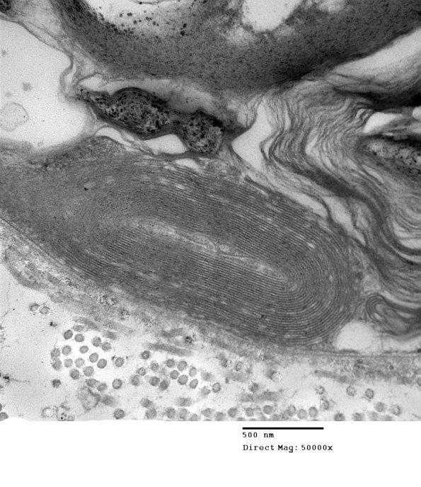
Washington University Experience | PERIPHERAL NEUROPATHY | 4 AXONAL DEGENERATION | 3 Electron Microscopy | 2A4 Axonal Degeneration (Case 9) EM 032 - Copy
In many cases fragments of myelin may maintain their characteristic periodicity.
