Table of Contents



Washington University Experience | PERIPHERAL NEUROPATHY | 4 AXONAL DEGENERATION | 3 Electron Microscopy | 2B1 Axonal Degeneration (Case 7) EM 003 - Copy

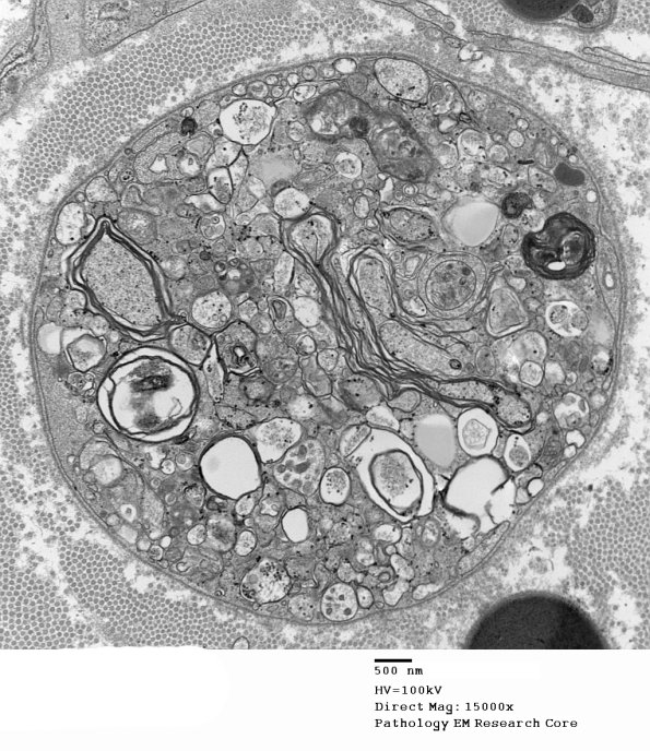
2B1 Axonal Degeneration (Case 7) EM 003 - Copy
2B1,2 Bits of myelin and axoplasm in the parent Schwann cell are found.


Gallery RSS RSS Feed | Archive View | Login | Powered by Zenphoto