Table of Contents
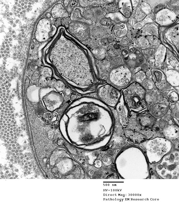
Washington University Experience | PERIPHERAL NEUROPATHY | 4 AXONAL DEGENERATION | 3 Electron Microscopy | 2B2 Axonal Degeneration (Case 7) EM 004 - Copy
Small fragments of myelin are held within the Schwann cell basement membrane.
