Table of Contents
Washington University Experience | PERIPHERAL NEUROPATHY | 4 AXONAL DEGENERATION | 3 Electron Microscopy | 2C1 (Case 10) EM 048 - Copy
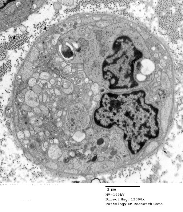
2C1,2 Without immunohistochemistry it is difficult to determine the cell type within the original basement membrane; however, most likely they are Schwann cells. The vacuoles include Schwann cell cytoplasm and probable axoplasm. Where is the myelin debris? It is possible that this degenerating collection of organelles and debris was generated from an unmyelinated axon.
