Table of Contents
Washington University Experience | PERIPHERAL NEUROPATHY | 4 AXONAL DEGENERATION | 3 Electron Microscopy | 2C13 (Case 10) EM 137 - Copy
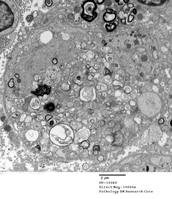
2C13,14 In this case the typical appearance of a degenerating axon shows patches of vesicular myelin.
