Table of Contents
Washington University Experience | PERIPHERAL NEUROPATHY | 4 AXONAL DEGENERATION | 3 Electron Microscopy | 2C14 (Case 10) EM 138 - Copy
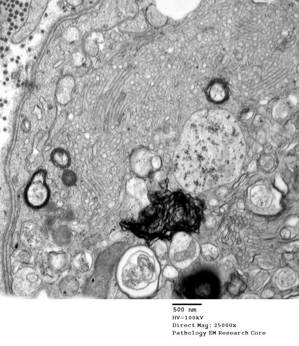
In this case the typical appearance of a degenerating axon shows patches of vesicular myelin.
