Table of Contents



Washington University Experience | PERIPHERAL NEUROPATHY | 4 AXONAL DEGENERATION | 3 Electron Microscopy | 2C16 (Case 10) EM 141 - Copy

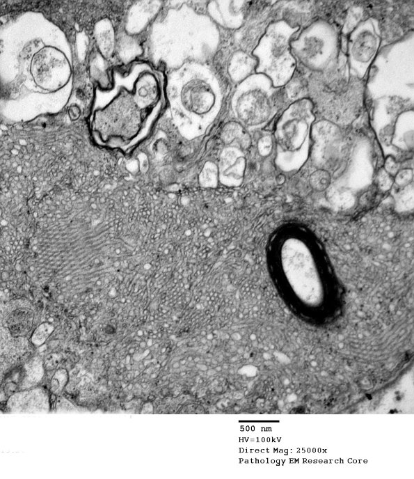
2C16 (Case 10) EM 141 - Copy
A mixture of vacuoles and vesicular myelin.


Gallery RSS RSS Feed | Archive View | Login | Powered by Zenphoto