Table of Contents
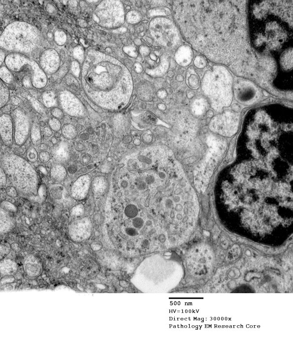
Washington University Experience | PERIPHERAL NEUROPATHY | 4 AXONAL DEGENERATION | 3 Electron Microscopy | 2C2 (Case 10) EM 049 - Copy
The vacuoles include Schwann cell cytoplasm and probable axoplasm. Where is the myelin debris? It is possible that this degenerating collection of organelles and debris was generated from an unmyelinated axon.
