Table of Contents



Washington University Experience | PERIPHERAL NEUROPATHY | 4 AXONAL DEGENERATION | 3 Electron Microscopy | 2C3 (Case 10) EM 055 - Copy

2C3 (Case 10) EM 055 - Copy
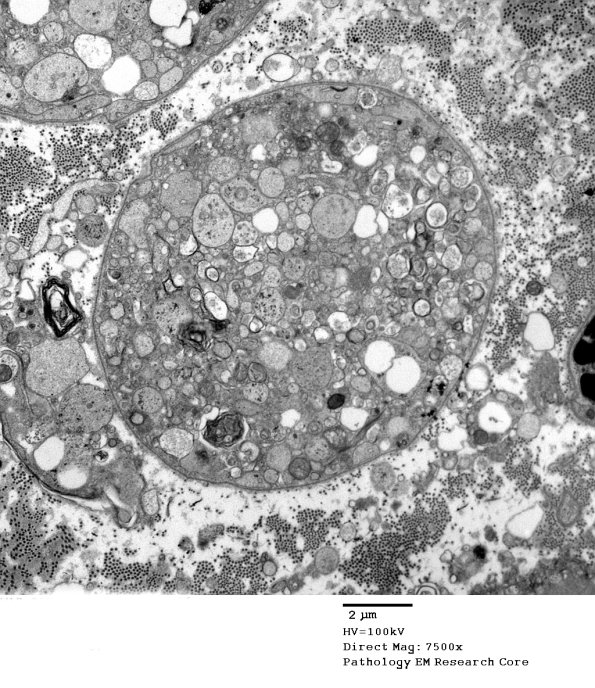
2C3,4 In this degenerating axon there are fragments that may be axon derived.


Gallery RSS RSS Feed | Archive View | Login | Powered by Zenphoto