Table of Contents
Washington University Experience | PERIPHERAL NEUROPATHY | 4 AXONAL DEGENERATION | 3 Electron Microscopy | 2C5 (Case 10) EM 177 - Copy copy
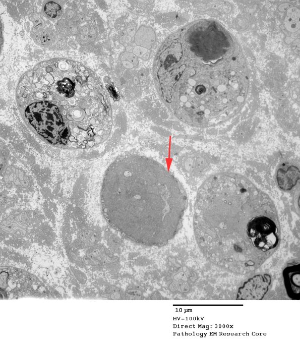
There is variation in the appearance of degenerating axons which are adjacent; one of which has a distinctive appearance (arrow).
