Table of Contents
Washington University Experience | PERIPHERAL NEUROPATHY | 4 AXONAL DEGENERATION | 3 Electron Microscopy | 2C6 (Case 10) EM 179 - Copy
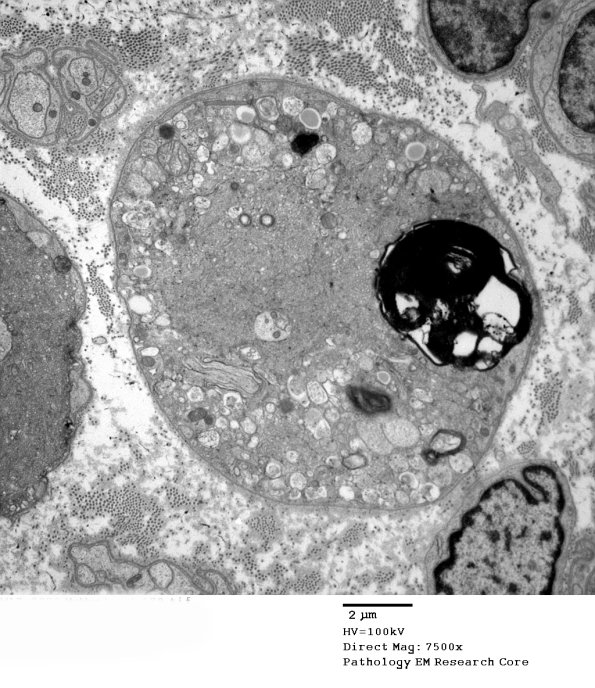
2C6,7 Higher magnification of this degenerating axon shows myelin vesicular change derived from degenerating myelin.
