Table of Contents



Washington University Experience | PERIPHERAL NEUROPATHY | 4 AXONAL DEGENERATION | 3 Electron Microscopy | 2C8 (Case 10) EM 024 - Copy

2C8 (Case 10) EM 024 - Copy
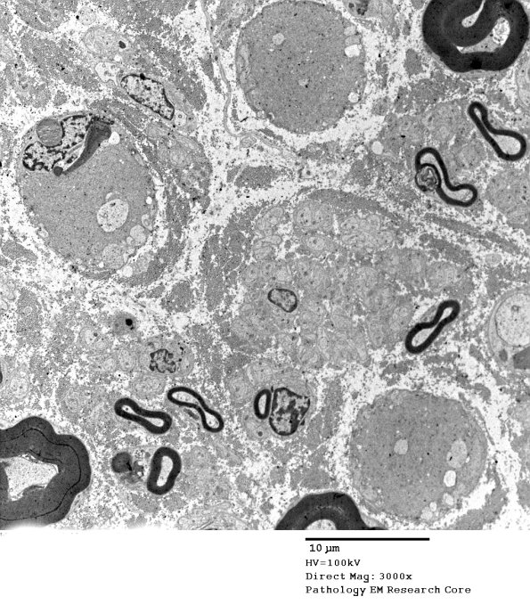
In this field there are numerous axons with an unusual homogenous cytoplasm.


Gallery RSS RSS Feed | Archive View | Login | Powered by Zenphoto