Table of Contents
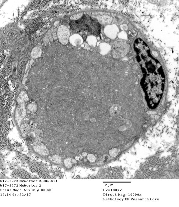
Washington University Experience | PERIPHERAL NEUROPATHY | 4 AXONAL DEGENERATION | 3 Electron Microscopy | 2C9 (Case 10) EM 086 - Copy
2C9,10 Higher magnification shows the homogeneous appearance is contributed by myelin vesicular change.
