Table of Contents
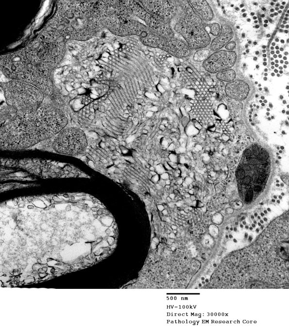
Washington University Experience | PERIPHERAL NEUROPATHY | 4 AXONAL DEGENERATION | 3 Electron Microscopy | 2D2 Axonal Degeneration (Case 11) EM 026 - Copy
In this case the myelin is seen being directly converted into degraded vesicles.
