Table of Contents
Washington University Experience | PERIPHERAL NEUROPATHY | 4 AXONAL DEGENERATION | 3 Electron Microscopy | 2E1 Axonal Degeneration (Case 7) EM 006 - Copy copy
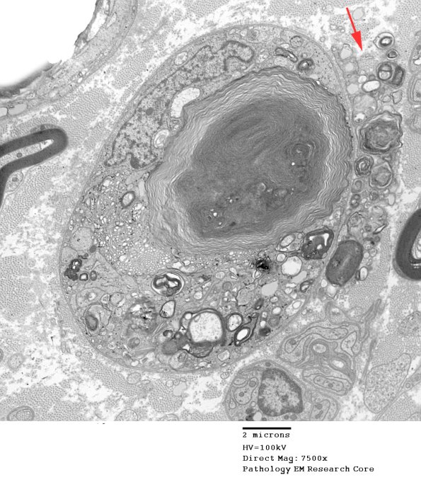
A central area of myelin may be the nidus for the lipidic debris seen in inactive chronic changes. At the right margin there is an extraneous cell (arrow), surely a macrophage, removing debris from the adjacent Schwann cell. This process is also shown in the atlas macrophage PNS section.
