Table of Contents



Washington University Experience | PERIPHERAL NEUROPATHY | 4 AXONAL DEGENERATION | 3 Electron Microscopy | 2E6 Axonal Degeneration (Case 7) EM 035 - Copy

2E6 Axonal Degeneration (Case 7) EM 035 - Copy
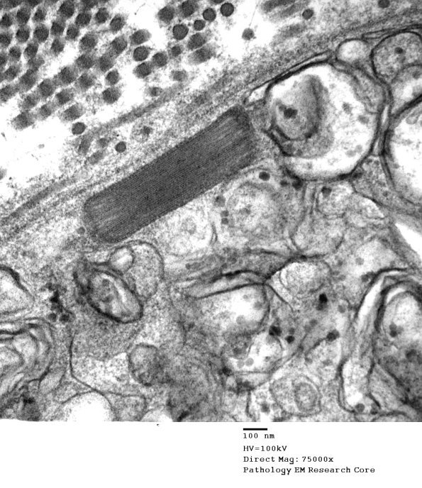
A pi granule preserves its periodicity which is narrower than myelin.


Gallery RSS RSS Feed | Archive View | Login | Powered by Zenphoto