Table of Contents
Washington University Experience | PERIPHERAL NEUROPATHY | 4 AXONAL DEGENERATION | 3 Electron Microscopy | 2E7 Axonal Degeneration (Case 12) 027 - Copy
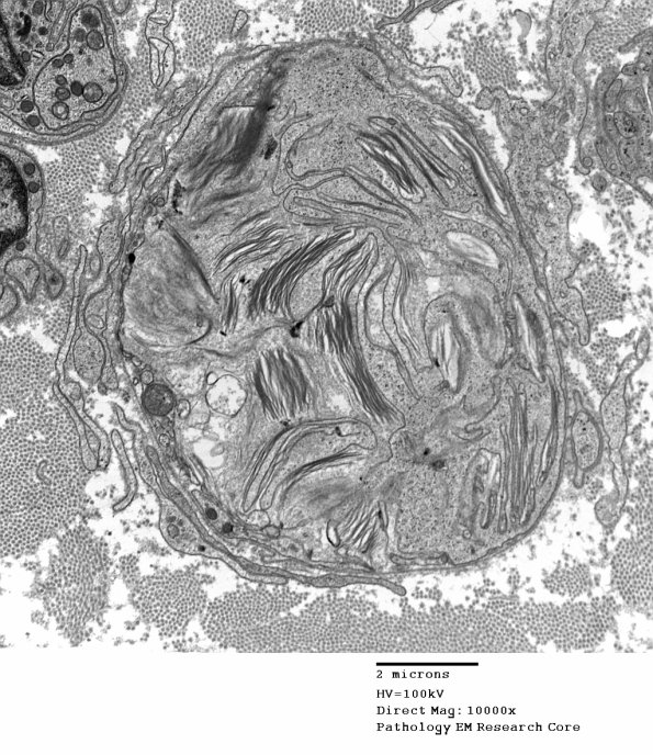
2E7,8 In this case delicate macrophage pseudopods (arrow, 2E8) are closely apposed to the debris containing Schwann cell cytoplasm, possibly removing it.
