Table of Contents
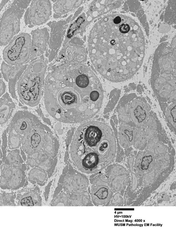
Washington University Experience | PERIPHERAL NEUROPATHY | 4 AXONAL DEGENERATION | 3 Electron Microscopy | 2F2 (Case 13) EM 038 - Copy
Low magnification view showing the loss of normal structures and the variation in appearance from one degenerating axon to another.
