Table of Contents
Washington University Experience | PERIPHERAL NEUROPATHY | 4 AXONAL DEGENERATION | 3 Electron Microscopy | 2G1 Axonal Degeneration (Case 7) EM 016B - Copy
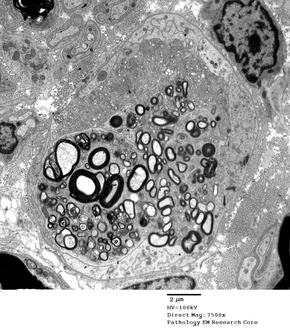
2G1-5 Multiple images of an impressively large degenerating axon with numerous elements. ---- 2G1 There are multiple patterns of injury in this axon.
