Table of Contents
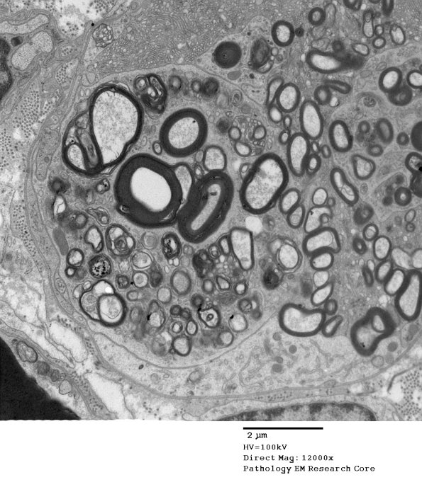
Washington University Experience | PERIPHERAL NEUROPATHY | 4 AXONAL DEGENERATION | 3 Electron Microscopy | 2G2 Axonal Degeneration (Case 7) EM 018A - Copy
This collection of myelin debris appears discrete and surrounded by a unit membrane between it and other Schwann cell contents but still is maintained within the original Schwann cell basement membrane.
