Table of Contents
Washington University Experience | PERIPHERAL NEUROPATHY | 4 AXONAL DEGENERATION | 3 Electron Microscopy | 2G5 Axonal Degeneration (Case 7) EM 020A - Copy
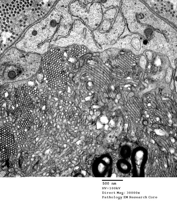
In this region there are vesicular myelin changes and adjacent Schwann cell processes which may resemble axons. Ribosomes in Schwann cell processes often give a hint they are not axons.
