Table of Contents
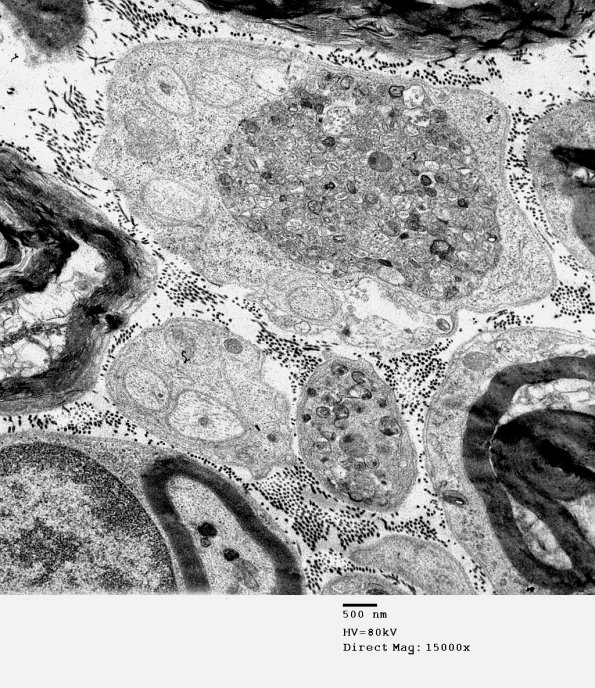
Washington University Experience | PERIPHERAL NEUROPATHY | 4 AXONAL DEGENERATION | 3 Electron Microscopy | 3B1 AMPK KO Mouse Degen Axons_005.jpg
3B1,2 Some unmyelinated axons show impressive dilatation due to the accumulation of subcellular organelles including mitochondria, endoplasmic reticulum and autophagosomes.
