Table of Contents
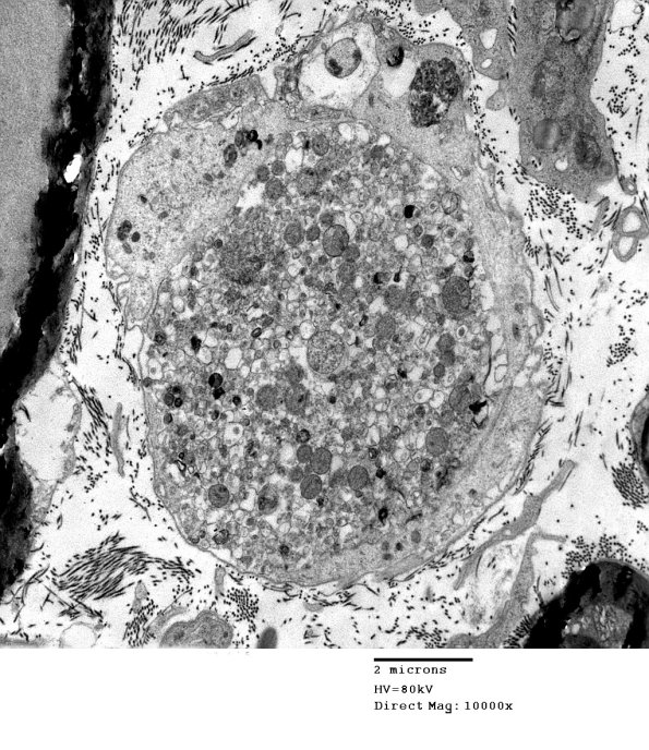
Washington University Experience | PERIPHERAL NEUROPATHY | 4 AXONAL DEGENERATION | 3 Electron Microscopy | 3B2 AMPK KO Mouse Degen Axons_031.jpg
Some unmyelinated axons show impressive dilatation due to the accumulation of subcellular organelles including mitochondria, endoplasmic reticulum and autophagosomes.
