Table of Contents
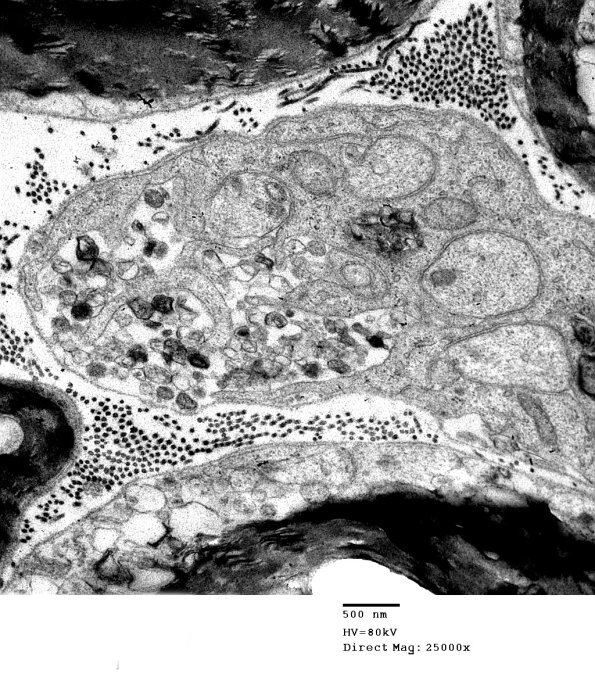
Washington University Experience | PERIPHERAL NEUROPATHY | 4 AXONAL DEGENERATION | 3 Electron Microscopy | 3B4 AMPK KO Mouse Degen Axons_004.jpg
Within a relatively short time the organelles are metabolized and form dark dense aggregates
