Table of Contents



Washington University Experience | PERIPHERAL NEUROPATHY | 4 AXONAL DEGENERATION | 3 Electron Microscopy | 3B5 AMPK KO Mouse Degen Axons_022.jpg

3B5 AMPK KO Mouse Degen Axons_022.jpg
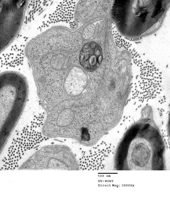
3B5,6 Organelles shrink and darken making contents difficult to appreciate.


Gallery RSS RSS Feed | Archive View | Login | Powered by Zenphoto