Table of Contents



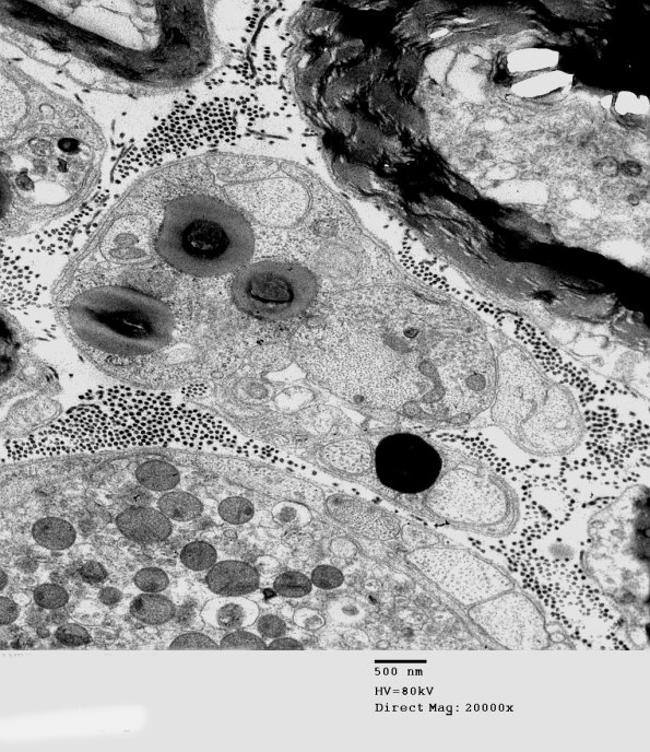
Washington University Experience | PERIPHERAL NEUROPATHY | 4 AXONAL DEGENERATION | 3 Electron Microscopy | 3B6 AMPK KO Mouse Degen Axons_002.jpg

3B6 AMPK KO Mouse Degen Axons_002.jpg
Organelles shrink and darken making contents difficult to appreciate.


Gallery RSS RSS Feed | Archive View | Login | Powered by Zenphoto