Table of Contents
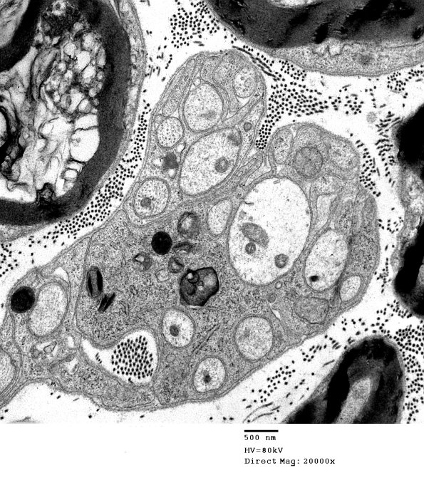
Washington University Experience | PERIPHERAL NEUROPATHY | 4 AXONAL DEGENERATION | 3 Electron Microscopy | 3B7 AMPK KO Mouse Degen Axons_018.jpg
In this Remak bundle axons range in appearance from swelling and pallor to dense aggregates in which it is difficult to identify substructure.
