Table of Contents
Washington University Experience | PERIPHERAL NEUROPATHY | 4 AXONAL DEGENERATION | 3 Electron Microscopy | 4A1 Bands of Bungner (Case 15) EM 025 - Copy copy
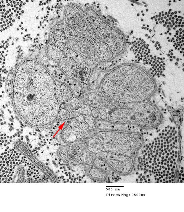
As myelin and axonal debris are removed, Schwann cells proliferate and send out numerous processes forming bands of Büngner, which represent conduits along which regenerative axons grow to try to reform their original connections. In many cases in which the profiles are small and round it is difficult to definitively separate Schwann cell processes from possible early regenerative axonal sprouts (arrow).
