Table of Contents



Washington University Experience | PERIPHERAL NEUROPATHY | 4 AXONAL DEGENERATION | 3 Electron Microscopy | 4B1 (Case 15) EM 015 - Copy

4B1 (Case 15) EM 015 - Copy
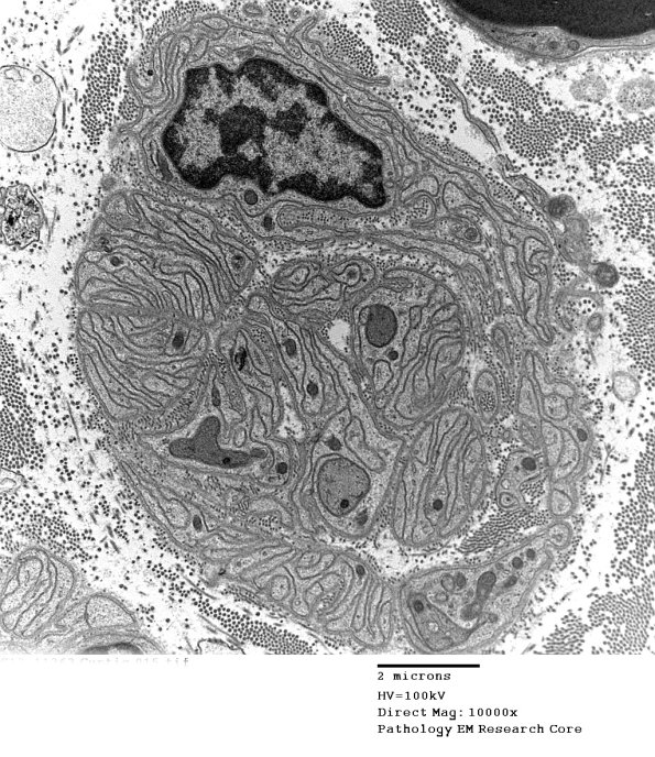
4B1,2 In most cases the Schwann cell processes form long stacked aggregates.


Gallery RSS RSS Feed | Archive View | Login | Powered by Zenphoto