Table of Contents
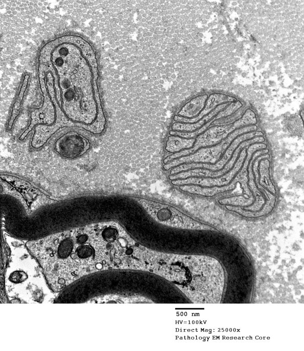
Washington University Experience | PERIPHERAL NEUROPATHY | 4 AXONAL DEGENERATION | 3 Electron Microscopy | 4E Bands of Bungner, unmyelinated bands (Case 17) EM 047 - Copy
The bands of Büngner derived from small unmyelinated axons are comparably small.
