Table of Contents



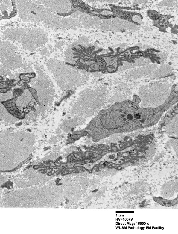
Washington University Experience | PERIPHERAL NEUROPATHY | 4 AXONAL DEGENERATION | 3 Electron Microscopy | 4G1 (Case 19)_015 - Copy

4G1 (Case 19)_015 - Copy
4G1,2 There are minimally preserved bands, a likely impediment to axonal regeneration.


Gallery RSS RSS Feed | Archive View | Login | Powered by Zenphoto