Table of Contents



Washington University Experience | PERIPHERAL NEUROPATHY | 4 AXONAL DEGENERATION | 3 Electron Microscopy | 4H (Case 20) EM 034 - Copy

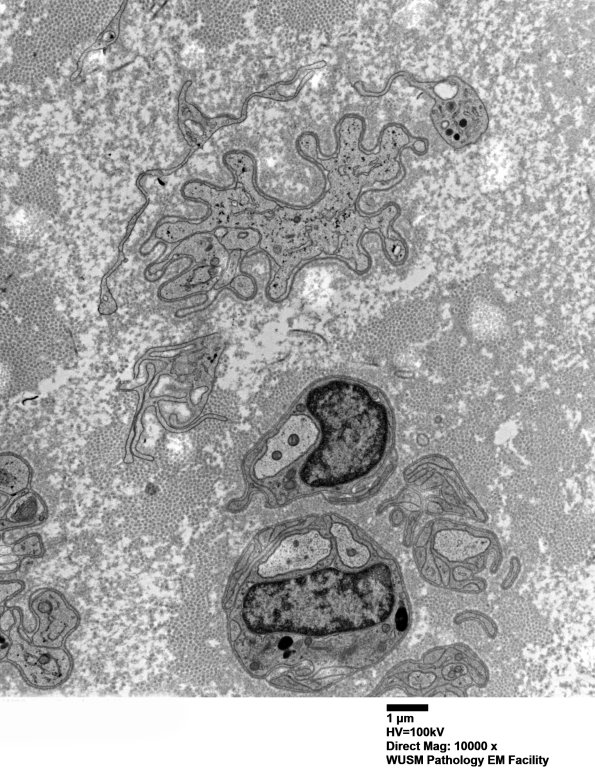
4H (Case 20) EM 034 - Copy
Only a few Schwann cell processes remain.


Gallery RSS RSS Feed | Archive View | Login | Powered by Zenphoto