Table of Contents
Washington University Experience | PERIPHERAL NEUROPATHY | 4 AXONAL DEGENERATION | 3 Electron Microscopy | 4I Axonal Degeneration (Case 21) EM 003 - Copy copy
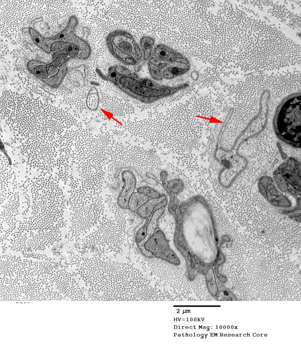
In some cases only the basal lamina remains (arrows) after degeneration of Schwann cells and their processes.
