Table of Contents
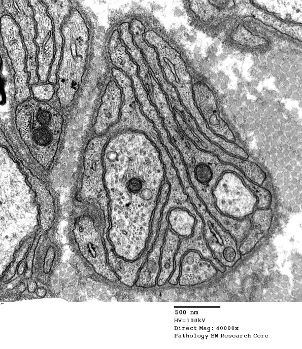
Washington University Experience | PERIPHERAL NEUROPATHY | 4 AXONAL DEGENERATION | 3 Electron Microscopy | 5B Axonal degeneration (Case 23) EM 054 - Copy
Here, it is clear that only a few axons are part of this band of Büngner.
