Table of Contents
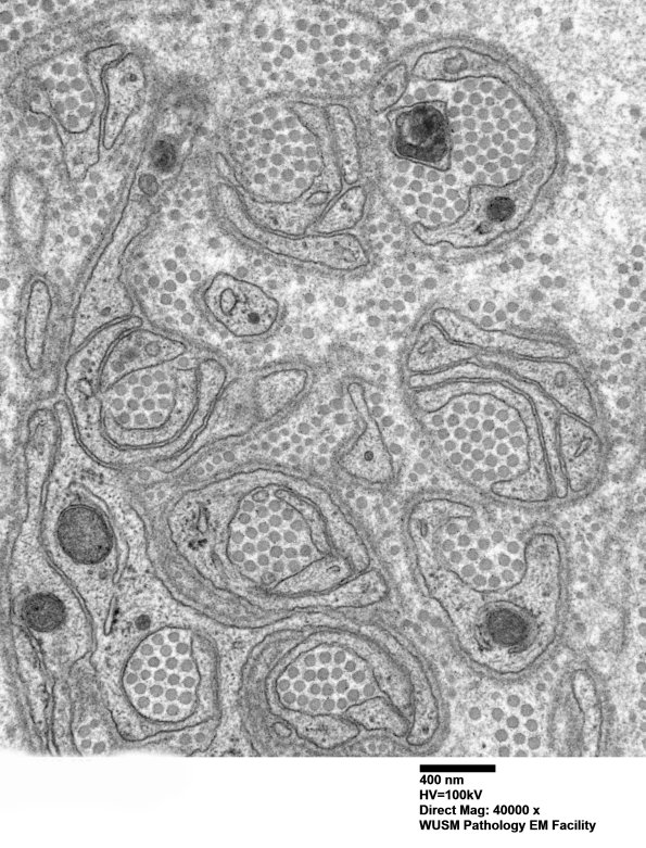
Washington University Experience | PERIPHERAL NEUROPATHY | 4 AXONAL DEGENERATION | 3 Electron Microscopy | 5C2 (Case 24) EM 025 - Copy
Small numbers of “collagen pockets”, characterized by Schwann cell processes surrounding groups of collagen fibers, are normal in nerve as a way of Schwann cells of unmyelinated axons maintaining a stable relationship within the endoneurium
