Table of Contents
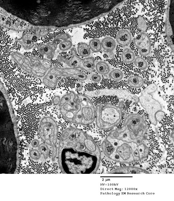
Washington University Experience | PERIPHERAL NEUROPATHY | 4 AXONAL DEGENERATION | 3 Electron Microscopy | 5D1 Collagen Pockets, unmyelinated (Case 25) EM 077 - Copy
5D1-4 Additional examples of collagen pockets signifying substantial numbers of lost unmyelinated axons.
